IMPLANTS DENTAIRES

Le taux de succès de l’intervention est de 99 - 99,5%.
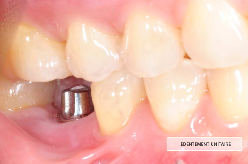
Différentes thérapeutiques : édentement unitaire ; édentement plural ; édentement complet ; extraction-implantation immédiate (MCI : permet d'avoir en 24-48 heures les dents sur implants) ; analyse esthétique pré-implantaire.

CAS CLINIQUES :
Implant antérieur et greffe osseuse
Edenté complet
Extraction implantation immédiate

Plus d'informations sur les implants dentaires : implantologie

ETAPES DU TRAITEMENT IMPLANTAIRE
Examen clinique et radiologique
Pose de l'implant
Phase de cicatrisation
Réalisation de la prothèse
Phase de maintenance
édentement unitaire implant dentaire implant dentaire pour édentement complet prothèse sur implants contrôle post-opératoire